Skip to content Skip to sidebar Skip to footer

Post Endometrial Ablation Syndrome

Endometrial Ablation Hysterectomy Alternative Or Trap Hormones Matter

Endometrial Ablation Hysterectomy Alternative Or Trap Hormones Matter

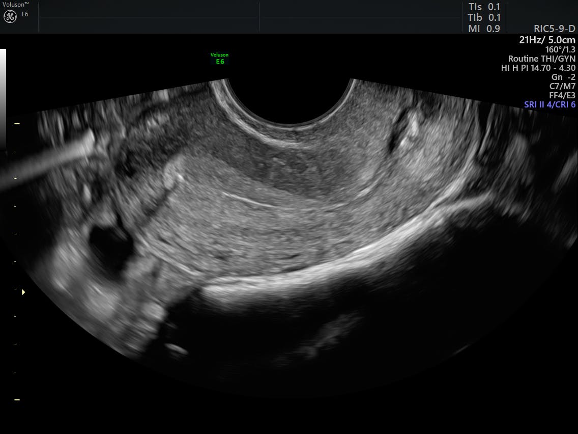
Post endometrial ablation syndrome. After an endometrial ablation women have varying severity and duration of cramps and vaginal discharge. Once healing of the uterine lining is complete most women experience lighter periods or even no periods. History and sonogram.

These are surgeries like NovaSure or ThermaChoice or HTA which are all excellent procedures. Post tubal endometrial ablation syndrome is when there are loculated areas inside the uterus still menstruating but nowhere for the blood to go. Recurrent tubal distention resulting from retrograde menstruation into occluded proximal fallopian tube segments by re.

The most likely cause for this to occur is thought to be the presence of entrapped tissue or scarring that has occurred during the ablation procedure. Post-ablation syndrome is one of the names in the medical literature used to describe symptoms like Nuzzos. Post endometrial ablation syndrome is a problem that women have after they have had a specific uterine treatment called endometrial ablation.

Post-ablation tubal sterilization syndrome and delays in finding and diagnosing endometrial cancer. Post-ablation syndrome describes the symptoms of pain or a return to heavy bleeding that often leads to hysterectomy as MedPage Today reported in an earlier story in this series. What is post-endometrial ablation syndrome.

Ask your gynecologist if she preforms these. Another is late-onset endometrial ablation. It has been reported in 6-8 of these patients and occurs when bleeding from residual endometrium is obstructed due to surrounding uterine scarring and tubal occlusion 1.

Any endometrial ablation discharge should stop after at the latest a few months. The discharge is typically watery and clear and can last for several weeks. 6228 views Reviewed 2 years ago.

Postablation tubal sterilization syndrome PATSS is an uncommon complication of endometrial ablation in patients with antecedent tubal ligation characterized by cyclic pelvic pain. Nonresectoscopic endometrial ablation techniques are being used as an alternative first-line management for menorrhagia.

Late Onset Endometrial Ablation Failure Sciencedirect

Late Onset Endometrial Ablation Failure Sciencedirect

Center For Menstrual Disorders In Rochester Ny

Center For Menstrual Disorders In Rochester Ny

Late Onset Endometrial Ablation Failure Sciencedirect

Late Onset Endometrial Ablation Failure Sciencedirect

Center For Menstrual Disorders In Rochester Ny

Center For Menstrual Disorders In Rochester Ny

Post Ablation Syndrome Gyn Diagnosis Article Hystersisters

Post Ablation Syndrome Gyn Diagnosis Article Hystersisters

Post Ablation Tubal Sterilization Syndrome After Radiofrequency Endometrial Ablation A Case Report And Thorough Review Of The Literature Journal Of Minimally Invasive Gynecology

Post Ablation Tubal Sterilization Syndrome After Radiofrequency Endometrial Ablation A Case Report And Thorough Review Of The Literature Journal Of Minimally Invasive Gynecology

Cyclic Pain After Endometrial Ablation Case 43 Acute Care And Emergency Gynecology

Cyclic Pain After Endometrial Ablation Case 43 Acute Care And Emergency Gynecology

Center For Menstrual Disorders In Rochester Ny

Center For Menstrual Disorders In Rochester Ny

Late Onset Endometrial Ablation Failure Sciencedirect

Late Onset Endometrial Ablation Failure Sciencedirect

Center For Menstrual Disorders In Rochester Ny

Center For Menstrual Disorders In Rochester Ny

Post Ablation Tubal Sterilization Syndrome Following Novasure Endometrial Ablation Two Case Reports Gynecological Surgery Full Text

Post Ablation Tubal Sterilization Syndrome Following Novasure Endometrial Ablation Two Case Reports Gynecological Surgery Full Text

Post Ablation Tubal Sterilization Syndrome Patss Gyn Diagnosis Article Hystersisters

Post Ablation Tubal Sterilization Syndrome Patss Gyn Diagnosis Article Hystersisters

Endometrial Ablation Sciencedirect

Endometrial Ablation Sciencedirect

Global Endometrial Ablation Ppt Video Online Download

Global Endometrial Ablation Ppt Video Online Download

How Gynecologic Procedures And Pharmacologic Treatments Can Affect The Uterus Mdedge Obgyn

How Gynecologic Procedures And Pharmacologic Treatments Can Affect The Uterus Mdedge Obgyn

Thermal Balloon Endometrial Ablation Healthdirect

Thermal Balloon Endometrial Ablation Healthdirect

Laparoscopic Supracervical Hysterectomy Versus Endometrial Ablation For Women With Heavy Menstrual Bleeding Health A Parallel Group Open Label Randomised Controlled Trial The Lancet

Laparoscopic Supracervical Hysterectomy Versus Endometrial Ablation For Women With Heavy Menstrual Bleeding Health A Parallel Group Open Label Randomised Controlled Trial The Lancet

How Gynecologic Procedures And Pharmacologic Treatments Can Affect The Uterus Mdedge Obgyn

How Gynecologic Procedures And Pharmacologic Treatments Can Affect The Uterus Mdedge Obgyn

Late Onset Endometrial Ablation Failure Sciencedirect

Late Onset Endometrial Ablation Failure Sciencedirect

The Benefits Of Endometrial Ablation For Endometriosis Empowered Women S Health

The Benefits Of Endometrial Ablation For Endometriosis Empowered Women S Health

Endometrial Ablation Mayo Clinic

Endometrial Ablation Mayo Clinic

Https Www Ajronline Org Doi Pdf 10 2214 Ajr 14 13960

Https Www Ajronline Org Doi Pdf 10 2214 Ajr 14 13960

Endometrial Ablation In Women With Adenomyosis Should It Be Avoided A Case Of Post Ablation Syndrome Pas Bsge

Endometrial Ablation In Women With Adenomyosis Should It Be Avoided A Case Of Post Ablation Syndrome Pas Bsge

1

1

The Benefits Of Endometrial Ablation For Endometriosis Empowered Women S Health

The Benefits Of Endometrial Ablation For Endometriosis Empowered Women S Health

Women Burned By Quick Fix For Heavy Periods Medpage Today

Women Burned By Quick Fix For Heavy Periods Medpage Today

Endometrial Ablation Wikipedia

Endometrial Ablation Wikipedia

How Gynecologic Procedures And Pharmacologic Treatments Can Affect The Uterus Mdedge Obgyn

How Gynecologic Procedures And Pharmacologic Treatments Can Affect The Uterus Mdedge Obgyn

Late Onset Endometrial Ablation Failure Sciencedirect

Late Onset Endometrial Ablation Failure Sciencedirect

Post Endometrial Ablation Syndrome Youtube

Post Endometrial Ablation Syndrome Youtube

Frequency Of Symptomatic Cornual Hematometra And Postablation Tubal Sterilization Syndrome After Total Rollerball Endometrial Ablation A 10 Year Follow Up American Journal Of Obstetrics Gynecology

Frequency Of Symptomatic Cornual Hematometra And Postablation Tubal Sterilization Syndrome After Total Rollerball Endometrial Ablation A 10 Year Follow Up American Journal Of Obstetrics Gynecology

Pdf Post Ablation Tubal Sterilization Syndrome Following Microwave Endometrial Ablation Semantic Scholar

Pdf Post Ablation Tubal Sterilization Syndrome Following Microwave Endometrial Ablation Semantic Scholar

Pdf Sonographic Findings After Surgical Ablation Of The Endometrium

Pdf Sonographic Findings After Surgical Ablation Of The Endometrium

Post Endometrial Ablation Syndrome

Post Endometrial Ablation Syndrome

Endometrial Ablation Procedure Side Effects And Recovery

Endometrial Ablation Procedure Side Effects And Recovery

My Endometrial Ablation Experience My Four Month Post Surgery Results

My Endometrial Ablation Experience My Four Month Post Surgery Results

Is Novasure Endometrial Ablation The Safest Surgical Treatment For Heavy Menstrual Bleeding Or Is It Just A Delayed Difficult Hysterectomy O G Magazine

Is Novasure Endometrial Ablation The Safest Surgical Treatment For Heavy Menstrual Bleeding Or Is It Just A Delayed Difficult Hysterectomy O G Magazine

Post Ablation Tubal Sterilization Syndrome A Systematic Literature Review Semantic Scholar

Post Ablation Tubal Sterilization Syndrome A Systematic Literature Review Semantic Scholar

Heavy Menstrual Bleeding Management During The Covid Pandemic Obstetrics Gynaecology And Reproductive Medicine

Heavy Menstrual Bleeding Management During The Covid Pandemic Obstetrics Gynaecology And Reproductive Medicine

What To Expect After An Endometrial Ablation

What To Expect After An Endometrial Ablation

Center For Menstrual Disorders In Rochester Ny

Center For Menstrual Disorders In Rochester Ny

Roentgen Ray Reader Postablation Tubal Sterilization Syndrome

Roentgen Ray Reader Postablation Tubal Sterilization Syndrome

Endometrial Ablation Abnormal Uterine Bleeding In The Absence Of Endometrial Hyperplasia Is Typically Endometrial Ablation Endometrial Hyperplasia Gynecology

Endometrial Ablation Abnormal Uterine Bleeding In The Absence Of Endometrial Hyperplasia Is Typically Endometrial Ablation Endometrial Hyperplasia Gynecology

Pdf Post Ablation Bacteremia Syndrome An Emerging Clinical Entity

Pdf Post Ablation Bacteremia Syndrome An Emerging Clinical Entity

How Gynecologic Procedures And Pharmacologic Treatments Can Affect The Uterus Mdedge Obgyn

How Gynecologic Procedures And Pharmacologic Treatments Can Affect The Uterus Mdedge Obgyn

Https Journals Sagepub Com Doi Pdf 10 1177 8756479316686852

Https Journals Sagepub Com Doi Pdf 10 1177 8756479316686852

Asherman Syndrome One Century Later Fertility And Sterility

Asherman Syndrome One Century Later Fertility And Sterility

Radio Frequency Endometrial Ablation Healthdirect

Radio Frequency Endometrial Ablation Healthdirect

1

1

With these techniques patients are at risk of developing delayed complications including painful obstructed menses such as central hematometra and cornual hematometra and postablation tubal sterilization syndrome.

Recurrent tubal distention resulting from retrograde menstruation into occluded proximal fallopian tube segments by re. Any bleeding from persistent or regenerating endometrium behind the scar may be obstructed and cause problems such as central hematometra cornual hematometra postablation tubal sterilization syndrome retrograde menstruation and potential delay in the diagnosis of endometrial cancer. The most likely cause for this to occur is thought to be the presence of entrapped tissue or scarring that has occurred during the ablation procedure. Post tubal endometrial ablation syndrome is when there are loculated areas inside the uterus still menstruating but nowhere for the blood to go. It has been reported in 6-8 of these patients and occurs when bleeding from residual endometrium is obstructed due to surrounding uterine scarring and tubal occlusion 1. It causes monthly pain and on tv sonogrom should show blood trapped withing the uterusIf your tubes arent tied it could stil happen but is less lilkely. Ask your gynecologist if she preforms these. The post endometrial ablation syndrome is when the patients have to bear high degree of pelvic pain with or without a change in their bleeding pattern. Post endometrial ablation syndrome is a problem that women have after they have had a specific uterine treatment called endometrial ablation.


Endometrial Ablation Techniques Endometrial ablation is the surgical de-struction of the uterine lining to the basalis level 46 mm deep depending on menstru-al cycle to limit the potential for endome-I n the past decade nonresectoscop-ic endometrial ablation tech-niques have continued to increase in popularity as an alternative. It has been reported in 6-8 of these patients and occurs when bleeding from residual endometrium is obstructed due to surrounding uterine scarring and tubal occlusion 1. Endometrial Ablation Techniques Endometrial ablation is the surgical de-struction of the uterine lining to the basalis level 46 mm deep depending on menstru-al cycle to limit the potential for endome-I n the past decade nonresectoscop-ic endometrial ablation tech-niques have continued to increase in popularity as an alternative. Post tubal endometrial ablation syndrome is when there are loculated areas inside the uterus still menstruating but nowhere for the blood to go. With these techniques patients are at risk of developing delayed complications including painful obstructed menses such as central hematometra and cornual hematometra and postablation tubal sterilization syndrome. What is post-endometrial ablation syndrome. After an endometrial ablation women have varying severity and duration of cramps and vaginal discharge.

Post a Comment for "Post Endometrial Ablation Syndrome"