Skip to content Skip to sidebar Skip to footer

Tengo Helicobacter Pylori Puedo Contagiar A Mi Familia

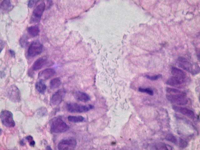
Helicobacter Pylori Como Se Transmite Y Cuales Son Los Sintomas America Noticias

Helicobacter Pylori Como Se Transmite Y Cuales Son Los Sintomas America Noticias

Tengo helicobacter pylori puedo contagiar a mi familia. La doctora precisa a su vez que las últimas guías clínicas establecen que si hay Helicobacter pylori y no provoca ningún síntoma hay que. No produce reflujo ardores. El Helicobacter Pylori es una bacteria gramnegativa con forma helicoidal o de espiral con flagelos y que se atornilla en la mucosa del estómago y puede quedarse suspendida en la mucosa gástrica o adherirse a las células epiteliales gracias a las adhesinas que produce y generar o no sintomatología.

Parece que la transmisión persona a persona podría ser debida a contagio oral-oral yo oral-fecal. Luis Miguel Benito de Benito. Pylori se transmita por medio del beso.

La pylori se lapuedo contagiar a mi hijo de 4 años mi bebé de 1año y a esposo. Un sumario de evidencia de Uptodate concluye que no está aclarado la necesidad de realizar pruebas de detección de HP en familiares de los pacientes que han sido tratados para el HP con el objetivo de reducir el riesgo de. Si Tengo Vph Puedo Contagiar A Mi Familia article September 06 2021 De acuerdo a su pregunta le puedo decir que el Virus del Papiloma Humano VPH se transmite por contacto genital sin protección más a menudo por relaciones sexuales vaginales y anales.

Hola tengo helicobacter pylori Y quiero saber si yo puedo contagiar a mi familia a través de besos o compartir utensilios de comida. Por ejemplo entre humanos se ha visto que existe agregación familiar es decir varios familiares afectados- pero el mecanismo de contagio exacto es desconocido. La bacteria está en la saliva y por lo tanto se puede contagiar a través de los besos o incluso tomar del mismo vaso de alguien que tiene esta infección.

Ánimo shur no es nada enserio lo malo es si lo arrastras y te jode el estomago como a mi. A bactéria ainda está associada a outras patologias extra gástricas. O Helicobacter pylori Hpylori é uma bactéria responsável pela formação de gastrites e úlcerasA infecção por esta bactéria está também relacionada ao câncer gástrico adenocarcinoma e ao linfoma gástrico de baixo grau.

No produce hinchazón ni gases. Se transmite Helicobacter pylori por vía sexual. Digestólogo Madrid Reservar cita Claro que se puede.

Muchas personas tienen la bacteria Helicobacter Pylori sin que se transmita al resto de la familia pero si tienes dudas consúltalo con tu gastroenterólogo para ver si considera necesario realizar una prueba de aliento a los familiares más cercanos la prueba más sencilla para detectar la bacteria pero no es usual que se requiera examinar a los integrantes de la familia. El Helicobacter Pylori bacteria que está asociada a las úlceras de estómago se transmite de padres a hijos durante la infancia.

Que Es La Helicobacter Pylori Y Que Implica Para La Salud Cinfasalud

Que Es La Helicobacter Pylori Y Que Implica Para La Salud Cinfasalud

Dieta Para Helicobacter Pylori Y Gastritis Asociada Centro Julia Farre

Dieta Para Helicobacter Pylori Y Gastritis Asociada Centro Julia Farre

Helicobacter Pylori La Bacteria Que Ataca Al Estomago Mediquo

Helicobacter Pylori La Bacteria Que Ataca Al Estomago Mediquo

Dieta Para Helicobacter Pylori Y Gastritis Asociada Centro Julia Farre

Dieta Para Helicobacter Pylori Y Gastritis Asociada Centro Julia Farre

Se Contagia El Cancer Helicobacter Pylori Un Asesino Al Acecho Microbichitos

Se Contagia El Cancer Helicobacter Pylori Un Asesino Al Acecho Microbichitos

Helicobacter Pylori Aparato Digestivo Hospital Fuensanta Madrid

Helicobacter Pylori Aparato Digestivo Hospital Fuensanta Madrid

Dieta Para Helicobacter Pylori Y Gastritis Asociada Centro Julia Farre

Dieta Para Helicobacter Pylori Y Gastritis Asociada Centro Julia Farre

Dieta Helicobacter Pylori Alimentos Desaconsejados

Dieta Helicobacter Pylori Alimentos Desaconsejados

Infeccion Por Helicobacter Pylori En Ninos

Infeccion Por Helicobacter Pylori En Ninos

Mi Hijo Tiene Una Bacteria En El Estomago Que Significa Familia Y Salud

Mi Hijo Tiene Una Bacteria En El Estomago Que Significa Familia Y Salud

Problemas Estomacales Quiza Es Helicobacter Pylori

Problemas Estomacales Quiza Es Helicobacter Pylori

Helicobacter Pylori Causas Sintomas Y Tratamiento De Esta Bacteria

Helicobacter Pylori Causas Sintomas Y Tratamiento De Esta Bacteria

Dieta Para Helicobacter Pylori Y Gastritis Asociada Centro Julia Farre

Dieta Para Helicobacter Pylori Y Gastritis Asociada Centro Julia Farre

El Helicobacter Pylori Debemos Tratar A Todo El Mundo Blogs Quironsalud

El Helicobacter Pylori Debemos Tratar A Todo El Mundo Blogs Quironsalud

Se Transmite Helicobacter Pylori Por Via Sexual Corpogenlab

Se Transmite Helicobacter Pylori Por Via Sexual Corpogenlab

Que Dieta Es Mejor Seguir Si Tienes Helicobacter Pylori

Que Dieta Es Mejor Seguir Si Tienes Helicobacter Pylori

Uqxijbrot3lavm

Uqxijbrot3lavm

Helicobacter Pylori Archivos Clinica Digestiva Navarro

Helicobacter Pylori Archivos Clinica Digestiva Navarro

Dieta Para Helicobacter Pylori Y Gastritis Asociada Centro Julia Farre

Dieta Para Helicobacter Pylori Y Gastritis Asociada Centro Julia Farre

El Helicobacter Pylori Se Contagia Teinteresa

El Helicobacter Pylori Se Contagia Teinteresa

El Helicobacter Pylori Debemos Tratar A Todo El Mundo Blogs Quironsalud

El Helicobacter Pylori Debemos Tratar A Todo El Mundo Blogs Quironsalud

El Contagio De Las Bacterias Entre Parejas Mejor Con Salud

El Contagio De Las Bacterias Entre Parejas Mejor Con Salud

Nuevo Probiotico Que Protege Al Estomago

Nuevo Probiotico Que Protege Al Estomago

1

1

Helicobacter Pylori Archivos Clinica Digestiva Navarro

Helicobacter Pylori Archivos Clinica Digestiva Navarro

Bacteria Helicobacter Pylori Que Es Sintomas Causas Tratamientos

Bacteria Helicobacter Pylori Que Es Sintomas Causas Tratamientos

Infeccion Por Helicobacter Pylori En Ninos

Infeccion Por Helicobacter Pylori En Ninos

Helicobacter Pylori El Blog De Meritxell

Helicobacter Pylori El Blog De Meritxell

Erradicar La Infeccion Por Helicobacter Pylori Es Todo Un Reto Local Y Mundial Ops Oms Organizacion Panamericana De La Salud

Erradicar La Infeccion Por Helicobacter Pylori Es Todo Un Reto Local Y Mundial Ops Oms Organizacion Panamericana De La Salud

Como Evitar Una Infeccion Bacteriana De H Pylori

Como Evitar Una Infeccion Bacteriana De H Pylori

La Bacteria Helicobacter Pylori Se Contagia Todo Lo Que Necesitas Saber

La Bacteria Helicobacter Pylori Se Contagia Todo Lo Que Necesitas Saber

Los Alimentos Prohibidos Si Tienes La Bacteria Helicobacter Pylori

Los Alimentos Prohibidos Si Tienes La Bacteria Helicobacter Pylori

Que Es El Helicobacter Pylori Y Como Es Su Tratamiento

Que Es El Helicobacter Pylori Y Como Es Su Tratamiento

Sintomas Y Tratamiento De La Infeccion Por La Bacteria Helicobacter Pylori

Sintomas Y Tratamiento De La Infeccion Por La Bacteria Helicobacter Pylori

El Microbio Del Cancer Helicobacter Pylori Parte 2 El Blog De Cancerdoctor

El Microbio Del Cancer Helicobacter Pylori Parte 2 El Blog De Cancerdoctor

Helicobacter Pylori Sintomas Tratamiento Redaccion Medica

Helicobacter Pylori Sintomas Tratamiento Redaccion Medica

Bacteria Helicobacter Pylori Que Es Sintomas Causas Tratamientos

Bacteria Helicobacter Pylori Que Es Sintomas Causas Tratamientos

Se Contagia El Cancer Helicobacter Pylori Un Asesino Al Acecho Microbichitos

Se Contagia El Cancer Helicobacter Pylori Un Asesino Al Acecho Microbichitos

Manejo De La Infeccion Por Helicobacter Pylori En El Nino Anales De Pediatria Continuada

Manejo De La Infeccion Por Helicobacter Pylori En El Nino Anales De Pediatria Continuada

Formas De Contagio Por La Bacteria Helicobacter Pylori

Formas De Contagio Por La Bacteria Helicobacter Pylori

Helicobacter Pylori H Pylori Bacteria Responsable De La Gastritis

Helicobacter Pylori H Pylori Bacteria Responsable De La Gastritis

Como Evitar Una Infeccion Bacteriana De H Pylori

Como Evitar Una Infeccion Bacteriana De H Pylori

Medlife Medicina De Laboratorio Como Se Contagia La Helicobacter Pylori

Medlife Medicina De Laboratorio Como Se Contagia La Helicobacter Pylori

Tener Helicobacter Pylori Genera Ulceras

Tener Helicobacter Pylori Genera Ulceras

El Helicobacter Pylori Se Debe Tratar Siempre

El Helicobacter Pylori Se Debe Tratar Siempre

Dieta Para Helicobacter Pylori Y Gastritis Asociada Centro Julia Farre

Dieta Para Helicobacter Pylori Y Gastritis Asociada Centro Julia Farre

El Helicobacter Pylori Debemos Tratar A Todo El Mundo Blogs Quironsalud

El Helicobacter Pylori Debemos Tratar A Todo El Mundo Blogs Quironsalud

Helicobacter Pylori Archivos Clinica Digestiva Navarro

Helicobacter Pylori Archivos Clinica Digestiva Navarro

Stomach Endoscopy

Stomach Endoscopy

Digestólogo Madrid Reservar cita Claro que se puede.

Pylori se contagia por contacto directo entre personas saliva vómito heces o a través de alimentos y agua contaminados. Pylori se contagia por contacto directo entre personas saliva vómito heces o a través de alimentos y agua contaminados. Si Tengo Vph Puedo Contagiar A Mi Familia article September 06 2021 De acuerdo a su pregunta le puedo decir que el Virus del Papiloma Humano VPH se transmite por contacto genital sin protección más a menudo por relaciones sexuales vaginales y anales. Parece que la transmisión persona a persona podría ser debida a contagio oral-oral yo oral-fecal. Les digo discúlpenme les tengo malas noticias probablemente sí entre las parejas o esposos puede ser dijo Marshall. Digestólogo Madrid Reservar cita Claro que se puede. Luis Miguel Benito de Benito. No produce reflujo ardores. Hasta el momento no se tiene total seguridad acerca del contagio de la bacteria Helicobacter pylori pero hay numerosas evidencias e informes que confirman que este microorganismo crónico puede ser transmitido de persona a persona principalmente a través de la saliva por lo que es más frecuente que el contagio de dicha bacteria se presente entre los.


Parece que la transmisión persona a persona podría ser debida a contagio oral-oral yo oral-fecal. Cuando uno de los miembros de la familia tiene Helicobacter pylori es muy importante extremar las medidas de higiene. Pylori é uma bactéria que coloniza a mucosa gástrica humana e está associada ao desenvolvimento de diversas doenças no sistema digestivo tais como gastrite úlcera e câncer de estômago. No produce hinchazón ni gases. Pero no está suficientemente estudiado 1. Un sumario de evidencia de Uptodate concluye que no está aclarado la necesidad de realizar pruebas de detección de HP en familiares de los pacientes que han sido tratados para el HP con el objetivo de reducir el riesgo de. O desenvolvimento dessas doenças está relacionado a ativação de processos.

Post a Comment for "Tengo Helicobacter Pylori Puedo Contagiar A Mi Familia"